显示的图像是我们的客户所拍摄的临床图像,也是 nu:view 在临床实践中的应用实例。
评估: BI-RADS 3
图片来源:Prof: Prof. Dr. med. Andreas Boss (USZ - 苏黎世大学医院)
评估: BI-RADS 4/组织学:镰状腺病
图片来源:Prof: Prof. Dr. med. Andreas Boss (USZ - 苏黎世大学医院)
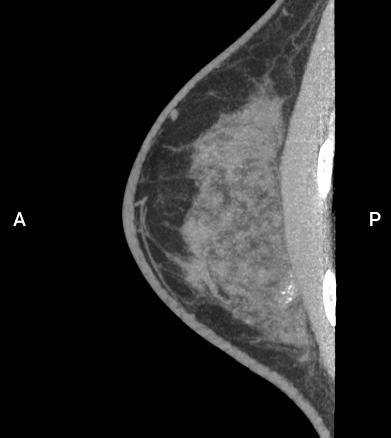
评估: BI-RADS 2
图片提供:Prof: Prof. Dr. med. Andreas Boss (USZ - 苏黎世大学医院)
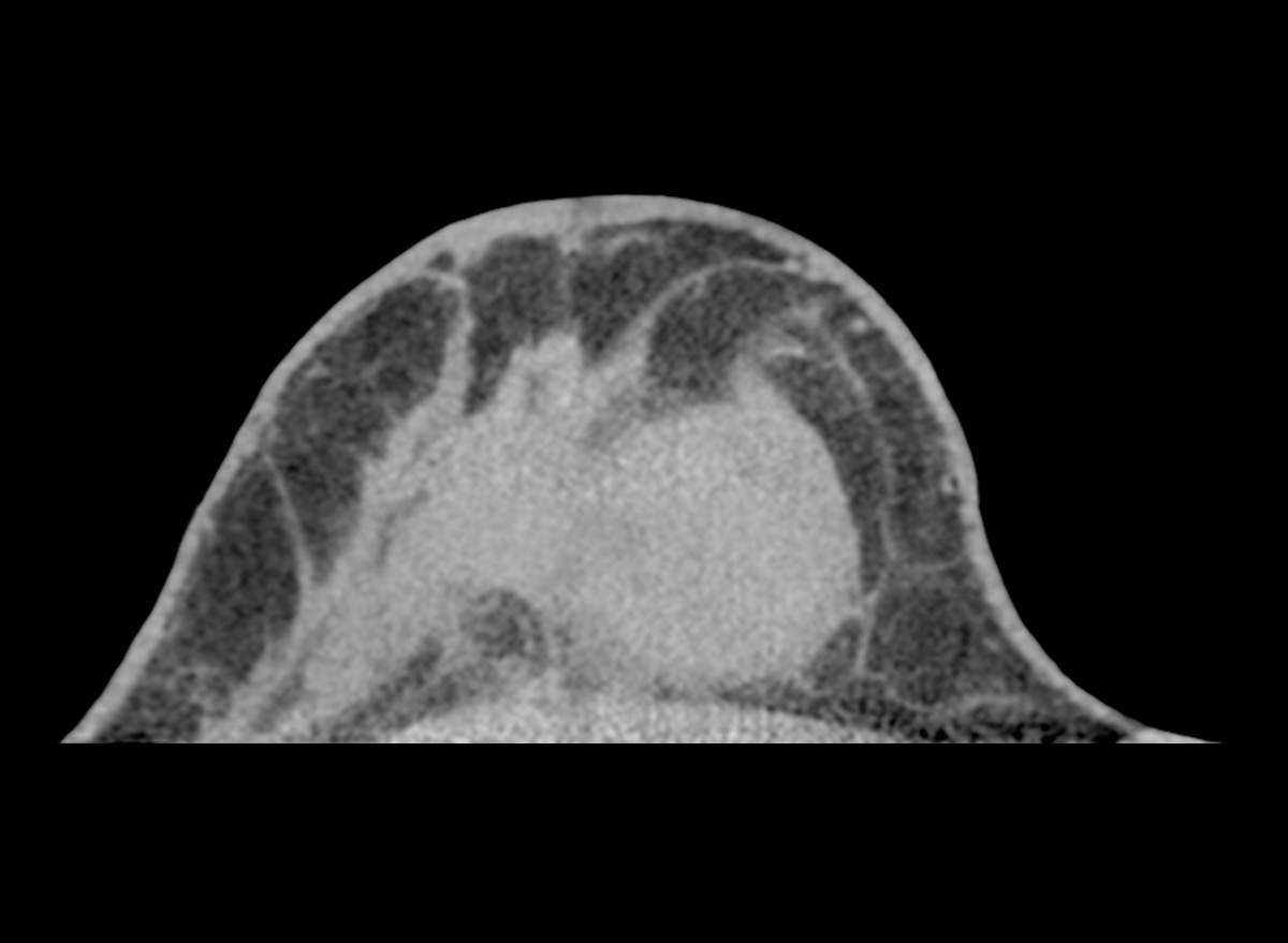
评估: BI-RADS 2
图片来源:Prof: Prof. Dr. med. Andreas Boss (USZ - 苏黎世大学医院)
为了证实有多中心乳腺癌,她接受了乳腺 CT 扫描。
评估: BI-RADS 5
图片由 Prof. Dr. med. Evelyn Wenkel (埃尔兰根大学医院)

演示 nu:view 乳房 CT(静脉注射造影剂)的 3D 成像功能和工作流程。
视频由 Dr. med. Karsten Ridder (MVZ Prof. Dr. Uhlenbrock und Partner)提供
大中华地区总代理:海南波影医疗科技有限公司
邮件:info@ab-ct.com.cn
AB-CT 德国总部:
AB-CT – Advanced Breast-CT GmbH
Henkestrasse 91
91052 Erlangen
Germany
Phone: +49 9131 97310 0
Fax: +49 9131 97310 10
E-Mail: info [at] ab-ct.com